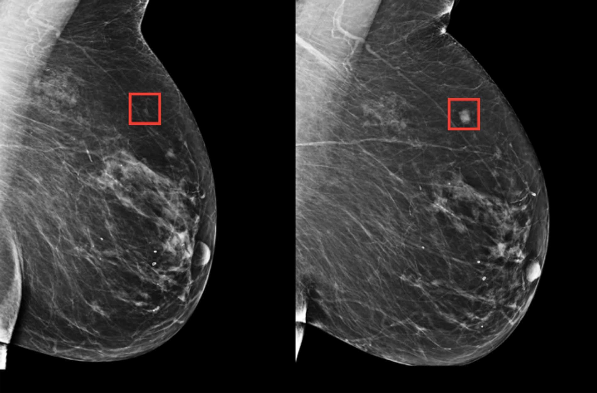
Investigadores rusos desarrollaron una red neuronal que puede detectar el cáncer de mama en etapa temprana mediante tomografías computarizadas en cuestión de minutos, significativamente más rápido que los métodos tradicionales, que pueden tardar hasta un día, informaron medios locales.
La tecnología, creada por la Universidad Electrotécnica de San Petersburgo y el Centro Nacional de Investigación Médica Almazov, reduce la probabilidad de error clínico en aproximadamente un 20 %, según los desarrolladores.
“Este desarrollo podría ayudar a salvar miles de vidas”, afirmó Denis Stepanenko, director del proyecto de IA OncoDetect y estudiante de maestría en la Facultad de Tecnologías Informáticas e Informática de la universidad.
El cáncer de mama se cobra entre 4.000 y 7.000 vidas al año en Rusia, y el diagnóstico tardío se considera un factor contribuyente importante.
El sistema de IA procesa automáticamente las imágenes de la tomografía computarizada y destaca los posibles signos de cáncer para su posterior evaluación por parte de los médicos.
Los desarrolladores indicaron que el modelo se entrenó con alrededor de 7.000 imágenes de tomografía computarizada anónimas de la base de datos del Centro Almazov.#

Investigadores rusos desarrollaron una red neuronal que puede detectar el cáncer de mama en etapa temprana mediante tomografías computarizadas en cuestión de minutos, significativamente más rápido que los métodos tradicionales, que pueden tardar hasta un día, informaron medios locales.
La tecnología, creada por la Universidad Electrotécnica de San Petersburgo y el Centro Nacional de Investigación Médica Almazov, reduce la probabilidad de error clínico en aproximadamente un 20 %, según los desarrolladores.
“Este desarrollo podría ayudar a salvar miles de vidas”, afirmó Denis Stepanenko, director del proyecto de IA OncoDetect y estudiante de maestría en la Facultad de Tecnologías Informáticas e Informática de la universidad.
El cáncer de mama se cobra entre 4.000 y 7.000 vidas al año en Rusia, y el diagnóstico tardío se considera un factor contribuyente importante.
El sistema de IA procesa automáticamente las imágenes de la tomografía computarizada y destaca los posibles signos de cáncer para su posterior evaluación por parte de los médicos.
Los desarrolladores indicaron que el modelo se entrenó con alrededor de 7.000 imágenes de tomografía computarizada anónimas de la base de datos del Centro Almazov.#